Skip to content Skip to sidebar Skip to footer

Zahnfleisch Hinter Schneidezähnen Geschwollen

Nicht Odontogene Zysten Und Fisteln

Nicht Odontogene Zysten Und Fisteln

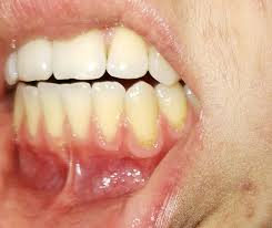
Zahnfleisch hinter schneidezähnen geschwollen. Links neben der Schwellung ist ein Zahn mit einer Füllung jedoch etwas weiter weg. Zahnfleisch besteht aus einer rosafarbenen Schleimhaut die die Kiefer bedeckt. Manchmal ist es aber auch mit großen Zahnschmerzen verbunden.

Dick Faserreich Von vielen Blutgefäßen durchzogen. Nicht selten sind die Zahnfleischschmerzen mit Mundgeruch Halitosis verbunden. Diese Symptome machen sich bei einer Entzündung am Zahnfleisch bemerkbar.

Ich meine NICHT das Lippenbändchen denn das ist ja vor den Zähnen und auch nicht den Gaumen oder das Zäpfchen. Was tun gegen Mundgeruch. Daneben gibt es Balsam Tinkturen und Gele mit Pflanzenextrakten wie Salbei Kamille und Myrrhe die entzündungshemmend wirken.

Dies ist so ein ovales Teil. Auch eine entzündete Kieferhöhle ohne einen erkrankten Zahn kann eine Schwellung oder Beule am Oberkiefer auslösen. Zahnfleischschmerzen können in allen Bereichen des Mundraums auftreten.

Das hintere Zahnfleisch also das Zahnfleisch hinter den Schneidezähnen ist auch irgendwie geschwollen ist auch etwas rot aber wie es aussieht nur äußerlich die Zähne selbst verursachen keine Schmerzen eben nur dieser Druck und das Gefühl dass sie zu groß sind. Der Wange ist abhängig davon inwieweit sich die Zahnwurzel entzündet hat. Meist bildet sich in dieser Zeit eine Beule am Zahnfleisch in direkter Nähe zum betroffenen Zahn.

Die betroffenen Stellen fühlen sich meist wund an brennen oder sind gerötet und geschwollen Ödem Flüssigkeitsansammlung im Gewebe. Die hormonell bedingte oberflächliche Zahnfleischentzündung Gingivitis zeigt sich als geschwollenes oft auch gerötetes Zahnfleisch das leicht blutet ich habe hinter den oberen Schneidezähnen also direkt in der Mitte eine Entzündung Schwellung. Wenn es geschwollen und entzündet ist wird es rot.

Oft fühlt sich geschwollenes Zahnfleisch gereizt oder empfindlich an. Diese Stelle liegt oben im Mundraum und direkt hinter den Zähnen.

Zahnfleisch Angeschwollen Gesundheit Und Medizin Zahne Zahnschmerzen

Zahnfleisch Angeschwollen Gesundheit Und Medizin Zahne Zahnschmerzen

Was Sind Das Fur Helle Beulen In Meinem Zahnfleisch Gesundheit Arzt Krankheit

Was Sind Das Fur Helle Beulen In Meinem Zahnfleisch Gesundheit Arzt Krankheit

Zahnfleisch Geht Hoch Angeschwollen

Zahnfleisch Geht Hoch Angeschwollen

Geschwollenes Zahnfleisch Vorbeugung Ursachen

Geschwollenes Zahnfleisch Vorbeugung Ursachen

Hab Ich Parodontitis Gesundheit Und Medizin Zahne Zahnarzt

Hab Ich Parodontitis Gesundheit Und Medizin Zahne Zahnarzt

Gaumenschmerzen Ursachen Und Therapie Heilpraxis

Gaumenschmerzen Ursachen Und Therapie Heilpraxis

Geschwollenes Zahnfleisch Vorbeugung Ursachen

Geschwollenes Zahnfleisch Vorbeugung Ursachen

Zahnfleisch Uber Vorderen Zahn Geschwollen Krankheit Zahne Angeschwollen

Zahnfleisch Uber Vorderen Zahn Geschwollen Krankheit Zahne Angeschwollen

Zahnaerzte Hh Zahnfleischentzundungen

Zahnaerzte Hh Zahnfleischentzundungen

Zahnfleisch Die Meistgelesenen Fragen

Zahnfleisch Die Meistgelesenen Fragen

Punkt Am Zahnfleisch Aphte Zahne

Punkt Am Zahnfleisch Aphte Zahne

Zahnfleisch Die Meistgelesenen Fragen

Zahnfleisch Die Meistgelesenen Fragen

Zahnfleischentzundung Focus Arztsuche

Zahnfleischentzundung Focus Arztsuche

Wie Heissen Diese Dinger Hinter Denn Vorderen Zahnen Zahnspange Schmerzen

Wie Heissen Diese Dinger Hinter Denn Vorderen Zahnen Zahnspange Schmerzen

Kinderzahnheilkunde Problem Wackelzahn Tipps Fur Eine Gute Zahnpflege In Einer Schwierigen Phase

Kinderzahnheilkunde Problem Wackelzahn Tipps Fur Eine Gute Zahnpflege In Einer Schwierigen Phase

Toter Zahn Zahn Wird Schwarz Oder Verfarbt Sich Gzfa

Toter Zahn Zahn Wird Schwarz Oder Verfarbt Sich Gzfa

Kokainkonsum Und Die Folgen Fur Die Mundgesundheit Zwp Online Das Nachrichtenportal Fur Die Dentalbranche

Kokainkonsum Und Die Folgen Fur Die Mundgesundheit Zwp Online Das Nachrichtenportal Fur Die Dentalbranche

Geschwollener Gaumen Ursachen Behandlung Die Besten Hausmittel

Geschwollener Gaumen Ursachen Behandlung Die Besten Hausmittel

Kinderzahnheilkunde Problem Wackelzahn Tipps Fur Eine Gute Zahnpflege In Einer Schwierigen Phase

Kinderzahnheilkunde Problem Wackelzahn Tipps Fur Eine Gute Zahnpflege In Einer Schwierigen Phase

Geschwollenes Zahnfleisch Ecdi

Geschwollenes Zahnfleisch Ecdi

Schwellung Am Gaumen

Schwellung Am Gaumen

Zahnfleischentzundung Rot Wie Angegriffenes Zahnfleisch Stern De

Zahnfleischentzundung Rot Wie Angegriffenes Zahnfleisch Stern De

Zahnfleischruckgang Ihr Zahnfleisch Geht Zuruck Das Sollten Sie Tun

Zahnfleischruckgang Ihr Zahnfleisch Geht Zuruck Das Sollten Sie Tun

3

3

Zahnfleischentzundung Focus Arztsuche

Zahnfleischentzundung Focus Arztsuche

Frontzahntrauma Wikipedia

Frontzahntrauma Wikipedia

Wissenschaftliches

Wissenschaftliches

Zahnfleisch Die Meistgelesenen Fragen

Zahnfleisch Die Meistgelesenen Fragen

Apikale Ostitis Zahnnotizen

Apikale Ostitis Zahnnotizen

Entzundung Des Zahnfleisches Erkennen Und Behandeln

Entzundung Des Zahnfleisches Erkennen Und Behandeln

Zahnfleisch Geschwollen Was Sie Unternehmen Konnen Dentalwissen

Zahnfleisch Geschwollen Was Sie Unternehmen Konnen Dentalwissen

Zahnfleischentzundung Gingivitis Ursachen Symptome Behandlung

Zahnfleischentzundung Gingivitis Ursachen Symptome Behandlung

Zahnfleisch Und Mundschleimhautbeschwerden

Zahnfleisch Und Mundschleimhautbeschwerden

Der X Effekt Als Unerwartete Komplikation Nach Retainerklebung Zwp Online Das Nachrichtenportal Fur Die Dentalbranche

Der X Effekt Als Unerwartete Komplikation Nach Retainerklebung Zwp Online Das Nachrichtenportal Fur Die Dentalbranche

Zahnfleisch Lose Zwischen Zahn Gesundheit Medizin Arzt

Zahnfleisch Lose Zwischen Zahn Gesundheit Medizin Arzt

Nach Popcorn Entzundetes Zahnfleisch Mit Eiter Schwellung Zahnfleischentzundung

Nach Popcorn Entzundetes Zahnfleisch Mit Eiter Schwellung Zahnfleischentzundung

Speicheldrusen Fehlbildungen Kiefer U Gesichtsbereich Kiefergelenk Zahne U Mund Springerlink

Speicheldrusen Fehlbildungen Kiefer U Gesichtsbereich Kiefergelenk Zahne U Mund Springerlink

Zahnheilkunde Zahnarztpraxis Geragori

Zahnheilkunde Zahnarztpraxis Geragori

Zahnfleischruckgang Ihr Zahnfleisch Geht Zuruck Das Sollten Sie Tun

Zahnfleischruckgang Ihr Zahnfleisch Geht Zuruck Das Sollten Sie Tun

Zysten Im Zahnfleisch Oder Kiefer Was Tun

Zysten Im Zahnfleisch Oder Kiefer Was Tun

Pickel Am Zahnfleisch Zahnfistel Gefahrlich Oder Doch Harmlos

Pickel Am Zahnfleisch Zahnfistel Gefahrlich Oder Doch Harmlos

Wissenschaftliches

Wissenschaftliches

Zahnkrankheiten Bei Kindern Mama Mein Mund Tut Weh Stern De

Zahnkrankheiten Bei Kindern Mama Mein Mund Tut Weh Stern De

Tiefe Zahnfleischentzundung Dental Team Dr Hajto Munchen

Tiefe Zahnfleischentzundung Dental Team Dr Hajto Munchen

Ratgeber Zahnarztliche Implantate Fur Patienten Prof Dr Dr P Tetsch Und Dr J Tetsch M Sc M Sc

Ratgeber Zahnarztliche Implantate Fur Patienten Prof Dr Dr P Tetsch Und Dr J Tetsch M Sc M Sc

Wackelnde Milchzahne Zahne Alles In Ordnung Medizinisches Kind Swissmom Ch

Wackelnde Milchzahne Zahne Alles In Ordnung Medizinisches Kind Swissmom Ch

Zahnfleisch Die Meistgelesenen Fragen

Zahnfleisch Die Meistgelesenen Fragen

Mundfaule Richtig Erkennen Und Behandeln Focus Arztsuche

Mundfaule Richtig Erkennen Und Behandeln Focus Arztsuche

Https Encrypted Tbn0 Gstatic Com Images Q Tbn And9gcqc9z Cbmnyzmoetbezev7etoa 0a9mf 544glb37 67wxjdm12 Usqp Cau

Https Encrypted Tbn0 Gstatic Com Images Q Tbn And9gcqc9z Cbmnyzmoetbezev7etoa 0a9mf 544glb37 67wxjdm12 Usqp Cau

Dick Faserreich Von vielen Blutgefäßen durchzogen.

Gerötetes und empfindliches Zahnfleisch. Dick Faserreich Von vielen Blutgefäßen durchzogen. Nun meine Frage was könnte das sein. Wenn ich drüber fühle liegt die stelle mittig ziemlich weit oben am harten gaumen hinter den Schneidezähnen wo ich keien Füllung habe. Zu einem Sud oder Tee zubereitet lassen die Heilpflanzen sich wunderbar oral einnehmen und wirken so schon durch bloßes Trinken direkt an den betroffenen Gaumenstellen. Auch häufiges Zahnfleischbluten kann auf eine Erkrankung der Gingiva hinweisen. Diese Symptome machen sich bei einer Entzündung am Zahnfleisch bemerkbar. Aber auch durch scharfe heiße Speisen und Getränke oder ungewaschenes Obst kann es zu einer Schwellung des Gaumens hinter den Schneidezähnen kommen. Wenn es geschwollen und entzündet ist wird es rot.


Dick Faserreich Von vielen Blutgefäßen durchzogen. Liegt zum Beispiel eine Entzündung der Mandeln vor so überträgt sich diese oftmals auf den Gaumen und bildet sich hier zu einer Schwellung aus. Diese Symptome machen sich bei einer Entzündung am Zahnfleisch bemerkbar. Auch eine entzündete Kieferhöhle ohne einen erkrankten Zahn kann eine Schwellung oder Beule am Oberkiefer auslösen. Zahnfleisch besteht aus einer rosafarbenen Schleimhaut die die Kiefer bedeckt. Leidet man unter gerötetem Zahnfleisch das schmerzt oder geschwollen erscheint steckt oftmals eine Zahnfleischentzündung dahinter. Die hormonell bedingte oberflächliche Zahnfleischentzündung Gingivitis zeigt sich als geschwollenes oft auch gerötetes Zahnfleisch das leicht blutet ich habe hinter den oberen Schneidezähnen also direkt in der Mitte eine Entzündung Schwellung.

Post a Comment for "Zahnfleisch Hinter Schneidezähnen Geschwollen"